Cargando...
Entre las competencias de Anatomía Patológica y Citología, figura colaborar en el proceso de biopsias y en la realización de necropsias clínicas o forenses, preparar, seleccionar y hacer aproximación diagnóstica de citologías y aplicar las técnicas de inmunohistoquímica y biología molecular, de manera que sirvan como soporte al diagnóstico clínico o médico-legal.
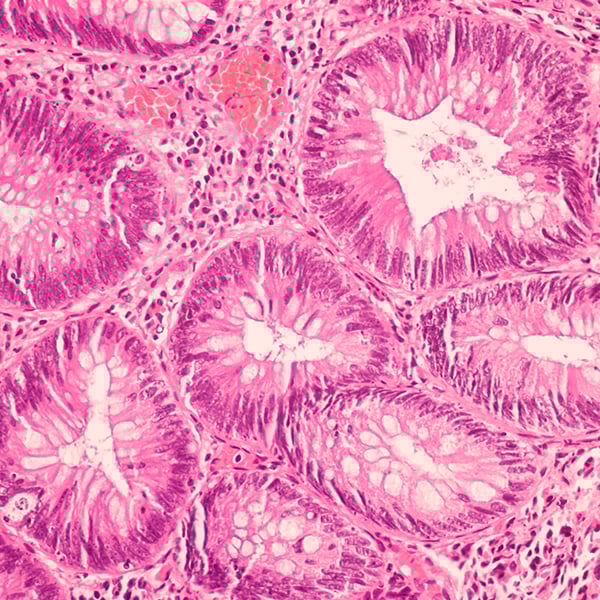
En este sentido, la citología es una herramienta diagnóstica fundamental para el clínico, ya que permite examinar grupos celulares de diferentes partes del organismo. Una extensión citológica es definida como el conjunto de células independientes procedentes de un tejido y extendidas sobre un portaobjetos en forma de capa unicelular que permite su observación microscópica.
Este programa formativo contiene material teórico y práctico con el que el alumno conocerá las operaciones físico-químicas básicas en citología, pero también el procesado básico de tejidos y obtendrá conocimientos sobre los procesos básicos en citología. Así, estudiará cómo se realiza un estudio microscópico, la obtención y montaje de muestras o el proceso de inclusión, corte y tinción.
En Formación Alcalá, apostamos por las técnicas y herramientas educativas más actuales para que tu experiencia de aprendizaje sea realmente dinámica, motivadora y efectiva.
Ponemos a tu alcance todos los materiales y recursos online para que puedas aprender a tu ritmo y desde donde quieras, en cualquier momento del día.
Nuestro equipo docente está formado por profesionales apasionados y comprometidos que te acompañarán durante todo el proceso formativo, siempre dispuestos a ayudarte.
Tu esfuerzo merece reconocimiento: da un paso más en tu formación con una titulación que impulse tu carrera.
El Curso de Procesado Citológico y Tisular está certificado con 75 Horas, 3 Créditos ECTS por la prestigiosa Universidad Tecnológica Atlántico-Mediterráneo.
La Universidad Tecnológica Atlántico Mediterráneo (UTAMED) es una institución de educación superior respaldada por la experiencia de un grupo educativo de España. Su propósito es ofrecer programas alineados con las necesidades del mercado laboral, priorizando la formación práctica y en habilidades.
La UTAMED busca que sus alumnos sean reconocidos por empresas e instituciones por sus competencias, fomentando la conexión entre investigación aplicada y sector empresarial para contribuir al desarrollo social, la competitividad y la solidaridad. Sus ejes principales son la tecnología, el emprendimiento, la innovación, la educación y la salud.


Llámanos o escríbenos por WhatsApp, estamos aquí para ayudarte.
La inscripción en esta formación 100% online con metodología E-Learning permanecerá abierta durante todo el año.
El discente tendrá un tiempo mínimo de 1 mes para la realización de este programa formativo y un máximo de 6 meses para su finalización.
La evaluación estará compuesta por:
Todos los alumnos deben aprobar la evaluación correspondiente a cada tema, en caso de no superar el total de las evaluaciones conjuntamente, el alumno dispone de una segunda oportunidad sin coste adicional.
Este programa formativo online con metodología E-Learning está destinado a todo aquel profesional de:
Tu formación a distancia se adapta a ti gracias a nuestra plataforma online. Podrás acceder al contenido, descargar materiales y realizar tu formación desde cualquier lugar, sin barreras.
Green Days de Primavera en Formación Alcalá
¡Estamos listos para ayudarte!
Escríbenos por WhatsApp.